Asbestos-related cancer primarily refers to malignancies that arise due to exposure to asbestos, a naturally occurring mineral once widely used in construction and manufacturing. The most common type of cancer associated with asbestos exposure is mesothelioma, a rare and aggressive cancer that affects the lining of the lungs, abdomen, or heart. You may not realize that even brief exposure to asbestos fibers can lead to serious health issues, as these microscopic fibers can become lodged in your body for decades before manifesting as cancer.
Understanding the latency period of asbestos-related diseases is crucial; symptoms often do not appear until 20 to 50 years after exposure, making early detection challenging. In addition to mesothelioma, asbestos exposure is linked to other types of cancers, including lung cancer and laryngeal cancer. If you have worked in industries such as construction, shipbuilding, or manufacturing, you may be at a higher risk.
The risk is compounded if you have a history of smoking, as the combination of smoking and asbestos exposure significantly increases the likelihood of developing lung cancer. It’s essential to be aware of the signs and symptoms associated with these cancers, which can include persistent cough, chest pain, and unexplained weight loss. Recognizing these symptoms early can be vital for effective treatment and management.
Key Takeaways
- Asbestos-related cancer is a result of exposure to asbestos fibers, which can lead to lung cancer, mesothelioma, and other respiratory diseases.
- Secondary exposure to asbestos can occur when individuals come into contact with asbestos fibers through contaminated clothing, vehicles, or other items from someone who works with asbestos.
- Environmental exposure to asbestos can happen through natural deposits, industrial processes, or the deterioration of asbestos-containing materials.
- Asbestos can be found in consumer products such as talcum powder, automotive parts, and construction materials, posing a risk to consumers.
- Asbestos in buildings and homes can be found in insulation, roofing, flooring, and other construction materials, potentially exposing occupants to asbestos fibers.
Secondary Exposure to Asbestos
Secondary exposure to asbestos occurs when individuals who have not directly worked with asbestos come into contact with it through someone who has. For instance, if you live with a family member who works in an industry where asbestos is present, you may inadvertently inhale or ingest asbestos fibers brought home on their clothing, skin, or hair. This type of exposure can be just as dangerous as direct exposure, leading to similar health risks and complications.
It’s important to understand that secondary exposure can affect anyone in close proximity to those who work with asbestos, including spouses and children. The implications of secondary exposure are often overlooked, yet they can be severe. Many people are unaware that they are at risk until they receive a diagnosis related to asbestos exposure.
If you suspect that you have been exposed indirectly, it’s crucial to discuss your concerns with a healthcare professional who can guide you on monitoring your health and recognizing potential symptoms. Awareness and education about secondary exposure are vital in preventing further cases of asbestos-related diseases.
Environmental Exposure to Asbestos

Environmental exposure to asbestos can occur in various settings, particularly in areas where natural deposits of asbestos exist or where buildings containing asbestos materials are located. If you live near an old industrial site or a location where asbestos mining took place, you may be at risk of inhaling airborne fibers. Additionally, natural disasters such as hurricanes or earthquakes can disturb asbestos-containing materials in buildings, releasing fibers into the air and posing a risk to nearby residents.
Understanding the environmental factors that contribute to asbestos exposure is essential for safeguarding your health. In urban areas, older buildings may still contain asbestos in insulation, roofing materials, or flooring. If you live in such a building or work in one, it’s important to be aware of the potential risks associated with these materials.
Renovation or demolition activities can also release asbestos fibers into the air if proper precautions are not taken. If you suspect that your environment may contain asbestos, consider consulting with professionals who can conduct an assessment and recommend safe removal or containment strategies.
Asbestos in Consumer Products
Despite the known dangers of asbestos, it has historically been used in various consumer products due to its heat resistance and durability. You might be surprised to learn that products such as talcum powder, certain types of insulation, and even some automotive parts have contained asbestos. While many countries have banned or heavily regulated the use of asbestos in consumer goods, some products still on the market may pose risks if not handled properly.
It’s essential to be vigilant about the products you use and understand their composition. If you are concerned about potential asbestos exposure from consumer products, it’s wise to research brands and materials before making purchases. For instance, older homes may still contain products like vinyl flooring or textured paints that were manufactured with asbestos.
If you suspect that a product in your home contains asbestos, avoid disturbing it and consult with professionals for safe removal or management options. Being proactive about your choices can help minimize your risk of exposure.
Asbestos in Buildings and Homes
Asbestos was widely used in construction materials throughout the 20th century due to its fire-resistant properties and strength. If you live in an older home or work in an older building, there’s a possibility that it contains asbestos in various forms such as insulation, ceiling tiles, or wall panels. Understanding where asbestos might be present is crucial for your safety and health.
If you suspect that your home contains asbestos materials, it’s important not to disturb them unless necessary; doing so can release harmful fibers into the air. When renovating or repairing older buildings, it’s essential to conduct thorough inspections for asbestos before beginning any work. Many local regulations require testing for asbestos before renovations can take place.
If asbestos is found, professional abatement services should be employed to safely remove or encapsulate the material. By taking these precautions, you can protect yourself and others from potential exposure while ensuring that your living or working environment remains safe.
Legal Options for Asbestos-related Cancer

If you or a loved one has been diagnosed with an asbestos-related cancer, understanding your legal options is crucial for seeking justice and compensation. Many individuals affected by these diseases have successfully pursued legal claims against companies that failed to protect their workers from asbestos exposure. You may be entitled to compensation for medical expenses, lost wages, pain and suffering, and other damages resulting from your diagnosis.
Consulting with an attorney who specializes in asbestos litigation can help you navigate this complex process. In addition to personal injury claims, there are also trust funds established by bankrupt companies that once manufactured or used asbestos products. These funds are designed to compensate victims of asbestos-related diseases and can provide financial relief for medical bills and other expenses.
Your attorney can assist you in determining whether you qualify for compensation from these trust funds based on your specific circumstances.
Seeking Medical Attention for Asbestos-related Cancer
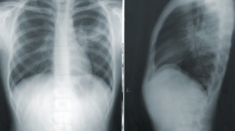
If you have been exposed to asbestos and are experiencing symptoms such as persistent cough, chest pain, or unexplained weight loss, seeking medical attention should be a priority. Early diagnosis is critical for improving treatment outcomes and managing symptoms effectively. Your healthcare provider may recommend imaging tests such as X-rays or CT scans to assess any abnormalities in your lungs or other affected areas.
If necessary, they may also perform biopsies to confirm a diagnosis of mesothelioma or other cancers related to asbestos exposure. Once diagnosed, it’s essential to discuss treatment options with your medical team. Treatment plans may include surgery, chemotherapy, radiation therapy, or palliative care depending on the stage of the disease and your overall health.
Staying informed about your condition and actively participating in treatment decisions can empower you during this challenging time. Additionally, consider seeking support from local or online support groups for individuals affected by asbestos-related cancers; connecting with others who share similar experiences can provide emotional support and valuable resources.
Preventing Asbestos Exposure
Preventing asbestos exposure is crucial for safeguarding your health and the health of those around you. If you work in an industry where asbestos is present, always adhere to safety guidelines and use protective equipment as required. Employers are responsible for providing training on how to handle materials containing asbestos safely; take advantage of these resources to educate yourself about best practices.
For homeowners and renters living in older buildings, regular inspections for potential asbestos-containing materials are essential. If renovations are planned, ensure that proper testing is conducted beforehand and hire licensed professionals for any necessary abatement work. By being proactive about prevention measures—whether at work or home—you can significantly reduce your risk of exposure to this hazardous material and protect your long-term health.
FAQs
What is asbestos-related cancer?
Asbestos-related cancer refers to cancers that are caused by exposure to asbestos fibers. This can include lung cancer, mesothelioma, and other types of cancer.
Can I still get asbestos-related cancer if I’ve never worked with asbestos?
Yes, it is possible to develop asbestos-related cancer even if you have never worked with asbestos. Secondhand exposure to asbestos, such as through living with someone who worked with asbestos or through environmental exposure, can also lead to the development of asbestos-related cancer.
What are the symptoms of asbestos-related cancer?
Symptoms of asbestos-related cancer can include shortness of breath, persistent cough, chest pain, and unexplained weight loss. It is important to see a doctor if you are experiencing these symptoms, especially if you have a history of asbestos exposure.
How is asbestos-related cancer diagnosed?
Asbestos-related cancer is typically diagnosed through a combination of medical history, physical examination, imaging tests (such as X-rays or CT scans), and biopsy. A doctor will also consider any history of asbestos exposure when making a diagnosis.
What are the treatment options for asbestos-related cancer?
Treatment for asbestos-related cancer can include surgery, chemotherapy, radiation therapy, and other targeted therapies. The specific treatment plan will depend on the type and stage of the cancer, as well as the individual’s overall health.